퇴행성 관절염 3·4기, 인공관절 치환술·부분치환술 필요한 시점은

러닝, 테니스 등 무릎 사용이 많은 스포츠가 유행하면서 무릎 통증을 호소하는 환자들이 눈에 띄게 늘고 있다.

 

특히 고령층뿐 아니라 40~50대 중장년층, 심지어 젊은 층에서도 퇴행성 관절염 진단을 받는 사례가 증가하는 추세다. 퇴행성 관절염은 관절을 보호하는 연골이 점차 닳아 없어지면서 염증과 통증이 발생하는 질환으로, 관절염 중 가장 흔하다. 초기에는 증상이 거의 없다가 연골이 상당 부분 소실된 뒤에야 통증이 본격화되는 것이 특징이다.

 

국민건강보험공단 자료에 따르면 무릎 인공관절 수술 건수는 2012년 5만7000여 건에서 2017년 6만9000여 건으로 꾸준히 증가했다. 고령화가 진행되면서 노인 퇴행성관절염 환자 역시 매년 늘고 있으며, 65세 이상 인구의 상당수가 방사선상 퇴행성 변화를 보인다는 보고도 있다. 문제는 통증을 참고 방치하다 3·4기 중상 단계에 이르러서야 병원을 찾는 경우가 적지 않다는 점이다.

퇴행성 관절염은 나이, 비만, 유전적 요인, 반복적인 관절 사용, 외상 등이 복합적으로 작용해 발생한다. 1기에서는 등산이나 계단 이용 후 뻐근함을 느끼는 정도지만, 2기로 진행하면 관절 간격이 좁아지고 움직임 시작 시 통증이 두드러진다. 3기에서는 연골 소실이 심해져 보행 자체가 힘들고 무릎이 붓거나 O다리 변형이 시작된다. 4기에서는 연골이 거의 남지 않아 뼈와 뼈가 맞닿으며 극심한 통증과 변형, 보행 장애가 동반된다.

 

초기 1기에는 약물치료와 물리치료, 체중 조절, 근력 강화 운동 등 보존적 퇴행성관절염 치료로 증상 조절이 가능하다. 2~3기에서는 히알루론산 주사, 스테로이드 주사, 자가골수세포 주사 등 관절 내 주사치료를 병행해 통증을 완화하고 진행을 늦출 수 있다. 그러나 연골 손상이 광범위한 3·4기 중상 단계에서는 보존적 치료만으로는 한계가 명확하다. 이 시기에는 수술적 치료가 불가피한 경우가 많다.

 

퇴행성 관절염이 진행될수록 무릎 안쪽 연골이 먼저 닳으며 다리가 O자로 휘는 변형이 나타난다. 비교적 젊고 활동성이 높은 환자에서 O다리 변형이 동반된 경우에는 근위경골절골술을 고려한다. 이는 정강이뼈의 각도를 교정해 체중 부하를 바깥쪽으로 분산시키는 수술로, 자신의 관절을 최대한 보존하면서 통증을 줄이는 O다리 교정술의 일종이다.

 

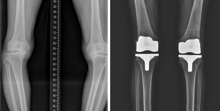
반면 무릎 안쪽 관절만 국한해 심하게 닳은 경우에는 인공관절 부분치환술이 적합하다. 손상된 부위만 5~7cm 정도의 최소 절개를 통해 교체하기 때문에 출혈이 적고 회복이 빠른 장점이 있다. 무릎 전체가 광범위하게 손상된 4기 환자라면 인공관절 치환술, 즉 전치환술이 필요하다.

 

이는 10cm 내외 절개 후 손상된 대퇴골과 경골 관절면을 정교하게 다듬고 특수 금속과 고강도 플라스틱으로 제작된 인공관절을 삽입하는 방식이다. 수술 시간은 약 1시간 30분 내외이며, 관절 정렬을 바로잡아 O다리 교정 효과도 기대할 수 있다.

 

인공관절 수술 후에는 체계적인 재활이 중요하다. 수술 후 1~2주간은 상처 보호와 부종 관리에 집중하고, 3~4주 차에는 관절 운동 범위를 회복하는 재활치료를 진행한다. 2~3개월에 걸쳐 허벅지 근력과 균형 감각을 강화하면 일상생활 복귀가 가능하다. 다만 감염, 혈전 등 합병증 예방을 위해 의료진의 지시에 따른 관리가 필수적이다.

임홍철 서울바른세상병원 관절클리닉 원장은 “퇴행성관절염 3·4기는 이미 연골이 상당 부분 소실된 중상 단계로, 통증을 참고 버티기보다는 정확한 진단 후 인공관절 부분치환술이나 인공관절 치환술 등 적절한 수술적 치료를 고려해야 한다”며 “무릎 통증 때문에 외출을 꺼리고 활동을 줄이면 근육이 더 약해져 악순환이 반복된다. 지금이라도 늦지 않았다는 마음으로 적극적인 치료를 받는 것이 즐거운 노후생활에 도움이 될 수 있다”고 말했다.

 

퇴행성 관절염을 예방하기 위해서는 체중 조절과 허벅지 근력 강화가 기본이다. 수영, 가벼운 걷기 운동은 도움이 되지만, 쪼그려 앉기나 무리한 런닝은 피하는 것이 좋다. 무릎 마사지, 옆으로 누워 다리 들어올리기, 올바른 자세의 런지 운동 등은 관절 주변 근육을 강화하는 데 도움이 될 수 있다.

 

임홍철 원장은 “무릎 통증은 단순한 노화 현상으로 치부할 문제가 아니다. 특히 3·4기 중상 단계에서는 수술 치료가 삶의 질을 좌우한다. 경험이 풍부한 퇴행성관절염 병원을 찾아 정확한 진단과 단계별 맞춤 치료를 받아야 한다”고 강조했다.



정희원 기자 happy1@sportsworldi.com

[ⓒ 세계비즈앤스포츠월드 & sportsworldi.com, 무단전재 및 재배포 금지]